Ανεύρυσμα κοιλιακής αορτής

Τι είναι το ανεύρυσμα

Ανεύρυσμα σημαίνει εντοπισμένη διαστολή μιας αρτηρίας κατά τουλάχιστον 50%.
Ένα αορτικό ανεύρυσμα εντοπίζεται συχνά στην κοιλιακή χώρα, το λεγόμενο ανεύρυσμα κοιλιακής αορτής, και συνήθως θεωρείται ότι υπάρχει όταν υπερβαίνει τα 30 χιλιοστά. Οι αορτές με μέγεθος 25-29 χιλιοστά πρέπει να θεωρούνται εκκολαπτόμενα ανευρύσματα

Σημαντικοί παράγοντες κινδύνου

✓ Ανδρικό φύλο
✓ Ηλικία > 65 ετών
✓ Κάπνισμα
✓ Αθηρωμάτωση πχ στις καρωτίδες
✓ 1ου βαθμού συγγένεια
✓ Άλλα περιφερικά ανευρύσματα (π.χ. ιγνυακό ανεύρυσμα)

Πορεία της ασθένειας και κίνδυνος ρήξης

Συνεχόμενη διαστολή και ρήξη. Η ταχύτητα διαστολής καθώς και ο κίνδυνος ρήξης καθορίζεται κυρίως από το μέγεθος (διάμετρος) του ανευρύσματος, αλλά υπάρχουν και μεγάλες επιμέρους παραλλαγές. Σε γενικές γραμμές ένα ανεύρυσμα κάτω από 5,0–5,5 εκατοστά σπάνια σπάει.

Ο κίνδυνος ρήξης θεωρείται υψηλότερος όταν υπάρχει
✓ Υπέρταση
✓ Κάπνισμα
✓ Κληρονομικότητα
✓ Γυναικείο φύλο

Επείγουσα αντιμετώπιση ρήξης

✓ Υψηλή αρχική θνησιμότητα. Μόνο το ένα τρίτο των ασθενών φτάνουν σε χειρουργική επέμβαση
✓ 40% θνησιμότητα στις πρώτες 30 μετεγχειρητικές ημέρες
✓ Νοσηλεία με εντατική θεραπεία
✓ Η συνολική θνησιμότητα από ρήξη είναι επομένως πολύ υψηλή και υπολογίζεται σε 80-90%

Συνεπώς το αορτικό ανεύρυσμα είναι μια σοβαρή ασθένεια με μεγάλο ρίσκο αλλά που μπορεί να αντιμετωπιστεί προληπτικά και αποτελεσματικά με χειρουργική επέμβαση

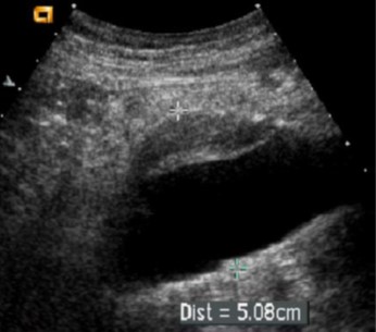
Διάγνωση και παρακολούθηση με υπέρηχο

Το μέγεθος της αορτής απεικονίζεται με τη βοήθεια υπερήχου.
Ανάλογα με το μέγεθος προτείνεται αρχικά παρακολούθηση και επανέλεγχος με υπέρηχο σε τακτικά χρονικά διαστήματα ή αν το μέγεθος πλησιάσει το ανώτατο όριο τότε το επόμενο βήμα είναι η αξονική τομογραφία και ενδεχομένως το χειρουργείο

Χειρουργική προληπτική επέμβαση, ανώδυνη και σχεδόν αναίμακτη

✓ Διαδερμική τοποθέτηση συνθετικής αορτής – μοσχεύματος σε ειδική χειρουργική αίθουσα με αγγειογράφο
✓ Χειρουργείο σε τοπική αναισθησία (στις περισσότερες περιπτώσεις)
✓ Νοσηλεία 1 – 2 ημέρες
✓ Εφικτό και σε περιπτώσεις νεφρικής ανεπάρκειας με την βοήθεια διοξείδιου του άνθρακα

Μικρό περιεγχειρητικό ρίσκο < 1,5%

Back to top